来源:河北广播电视台冀时客户端
责编:杨晓
时间:2025-12-23 10:40:28
当前,甲流已进入季节性高发期,冬春交替的气温波动、开学季返工潮的人群聚集、病毒变异带来的免疫逃逸以及既往疫苗接种形成的免疫缺口,共同推动了传播链的扩散。二院影像工作人员结合临床病历发现,很多人对甲流的认知仅停留在“高烧、肌肉酸痛”的表层症状,却忽视了肺部病变的潜在风险。其实,医学影像检查在甲流的病情评估、并发症排查中扮演着关键角色,今天就从专业角度为大家科普相关知识。
一、甲流不可怕,可怕的是肺部并发症
多数甲流患者表现为轻症,经对症治疗后1周左右即可痊愈,这类患者通常无需进行影像检查。但如果病毒突破呼吸道黏膜屏障,侵入肺部引发炎症,就可能进展为重症甲流,甚至危及生命。尤其对于老年人、有糖尿病、高血压等基础疾病的人群,以及免疫功能低下者,甲流并发肺炎的风险更高。
临床数据显示,重症甲流患者的肺部病变进展迅速,早期可能仅表现为轻微咳嗽,后期却可能快速出现呼吸困难、低氧血症等症状。而医学影像检查能及时捕捉肺部的细微病变,为医生判断病情严重程度、制定治疗方案提供客观依据,避免延误治疗时机。
二、甲流相关肺部病变的影像“密码”
甲流引发的肺部炎症在影像上有典型表现,但需结合临床症状和实验室检查综合判断,因为部分表现与普通肺炎相似,不具备绝对特异性。常见的影像特征主要有以下几种:
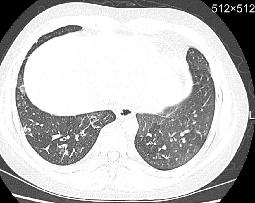
一是磨玻璃影,这是早期甲流肺炎的典型表现之一。在CT影像上,肺部会出现类似“薄雾笼罩”的半透明阴影,提示肺泡内有少量炎性渗出物。这种病变多位于肺部外周区域,早期可能范围较小,若未及时干预会快速扩散。二是斑片状或大片状实变影,随着病情进展,炎性渗出物增多,肺泡被填充,影像上会出现密度增高的片状阴影,严重时可累及多个肺叶。三是肺部纹理异常,轻症感染者可能仅表现为肺部纹理增粗、模糊,提示支气管黏膜存在炎症反应。少数重症患者还可能出现胸腔积液、肺不张等并发症,在影像上可观察到胸腔内液体增多、肺部组织塌陷等表现。
CT横断面示例

三、甲流高发季,影像检查该怎么选?
面对甲流症状,很多人会疑惑:“要不要拍片?选胸片还是CT?”其实两者各有优劣,需根据病情需求选择。
胸部X光片操作便捷、检查时间短、辐射剂量低,适合作为初步筛查手段。对于症状较轻、怀疑轻度肺部感染的患者,胸片可快速判断肺部是否存在明显炎症、水肿等病变。但胸片分辨率较低,组织重叠明显,难以发现早期细微的磨玻璃影,容易漏诊轻症肺炎。
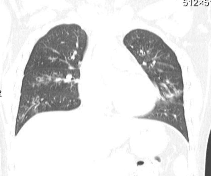
胸部CT的密度分辨率和空间分辨率更高,能清晰显示肺部的细微病变,尤其是早期磨玻璃影的范围和程度,还可通过三维重建多角度观察病变情况,是评估重症甲流肺炎的“金标准”。对于持续高烧超过5天不退、咳嗽加重伴脓痰、胸闷气短、呼吸困难的患者,以及免疫力低下的高危人群,建议及时进行胸部CT检查,明确肺部病变进展情况。
胸片示例

Ct冠状重组示例

四、高发季防控:影像预警与日常防护并行
预防甲流,核心在于筑牢“防护屏障”。日常要保持室内通风,在人群密集的密闭空间规范佩戴口罩;高危人群应及时接种当季流感疫苗,提升免疫能力;出现持续高热、肌肉酸痛等症状时,不要硬扛,应及时就医。
若就医后医生建议进行影像检查,无需过度担心辐射问题。正规医院的影像检查设备均符合安全标准,且技师会根据患者年龄、体重等调整参数,将辐射剂量控制在合理范围。配合完成影像检查,能让医生更精准地判断病情,避免盲目用药。
甲流高发季,既要重视症状识别,也要了解医学影像的“预警价值”。科学防护、及时就医、合理检查,才能最大程度降低感染风险,守护自身健康。希望今天的科普能帮助大家正确认识影像检查在甲流诊疗中的作用,从容应对高发态势。
供稿:河北医科大学第二医院医学影像科主管技师 李菲